Meet Our Smile Specialists: Cosmetic & Orthodontic Transformations at Strand on the Green Dental
At Strand on the Green Dental, we’re proud to offer advanced, patient-focused dental care led by highly skilled clinicians. Two of our standout dentists – Dr. Pete Niesiolowski and Dr. Misha Amin – are helping patients achieve healthier, more confident smiles every day through cosmetic dentistry and orthodontic treatment.
If you’ve been thinking about improving your smile, now is the perfect time to explore what’s possible.
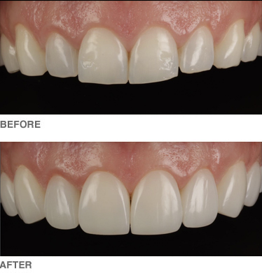
Dr. Pete Niesiolowski – Cosmetic Dentistry & Composite Build-Ups
Dr. Pete Niesiolowski specialises in cosmetic dentistry and composite build-up treatments, helping patients restore and enhance their smiles with natural-looking results.
Composite build-ups are an excellent option for repairing chipped, worn, uneven, or damaged teeth while preserving as much natural tooth structure as possible. Using a conservative and detail-focused approach, Dr. Pete carefully sculpts and shades composite material to blend seamlessly with your existing teeth – delivering results that look and feel completely natural.
From subtle cosmetic enhancements to full smile makeovers, Dr. Pete’s work is designed to improve both the appearance and function of your teeth. Below, you can view real before-and-after examples of his treatments and explore more of his work via Instagram.
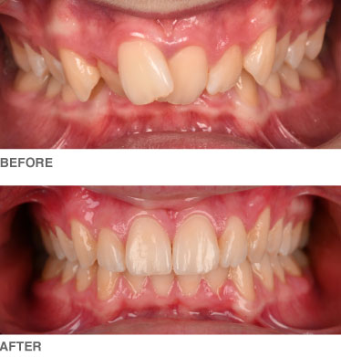
Dr. Misha Amin – Orthodontic Treatment
Dr. Misha Amin provides modern orthodontic solutions to help patients of all ages achieve straighter, healthier, and more confident smiles.
Whether you’re considering orthodontic treatment for yourself or your child, Dr. Misha offers advanced options designed to fit your lifestyle – including discreet and comfortable solutions. With a strong focus on precision, comfort, and long-term results, each treatment plan is fully personalised to meet your unique goals.
Orthodontic treatment not only improves the appearance of your smile, but also supports better oral health by making teeth easier to clean and improving bite alignment. Take a look at the orthodontic transformations below and visit Dr. Misha’s website see more real patient results.
Ready to Transform Your Smile?
If you’re interested in cosmetic dentistry or orthodontic treatment, our team at Strand on the Green Dental would love to help. Book a consultation today to find out which treatment options are right for you – and take the first step toward the smile you’ve always wanted.


