Expert in Composite Dentistry Now Available at Strand on the Green Dental, Chiswick
Say Hello to a More Confident Smile with Cosmetic Dentistry in Chiswick
We’re delighted to introduce Dr Pete Niesiolowski to the team at Strand on the Green Dental in Chiswick, W4. Dr Pete brings over 20 years of experience in cosmetic and restorative dentistry, offering patients advanced treatments designed to enhance their smiles with natural, long-lasting results.
Dr Pete will now be providing cosmetic dentistry appointments on some Saturdays starting on 1st November, making it easier than ever for our patients to transform their smiles at a time that suits them. Book your 45 minute consultation for just £100!
Meet Dr Pete Niesiolowski BDS PGDip (Implants) PGCert (Aesthetic Dentistry)

Dr Pete graduated from King’s College London in 1997 and has been practising full-time ever since. Over more than two decades, he has developed a special interest in cosmetic and restorative dentistry, with a particular passion for minimally-invasive treatments such as composite bonding.
Since beginning to use composite bonding as a cosmetic technique in 2004, Dr Pete has placed thousands of composite restorations, refining his approach to deliver beautiful, natural-looking results. His meticulous attention to tooth form, colour, and function ensures every smile looks harmonious and healthy.
Alongside his clinical work, Dr Pete is also a respected teacher and mentor. He runs hands-on composite bonding courses for other dentists, sharing the techniques and protocols he has developed through years of practice. His educational work reflects his commitment to raising standards in cosmetic dentistry across the UK.
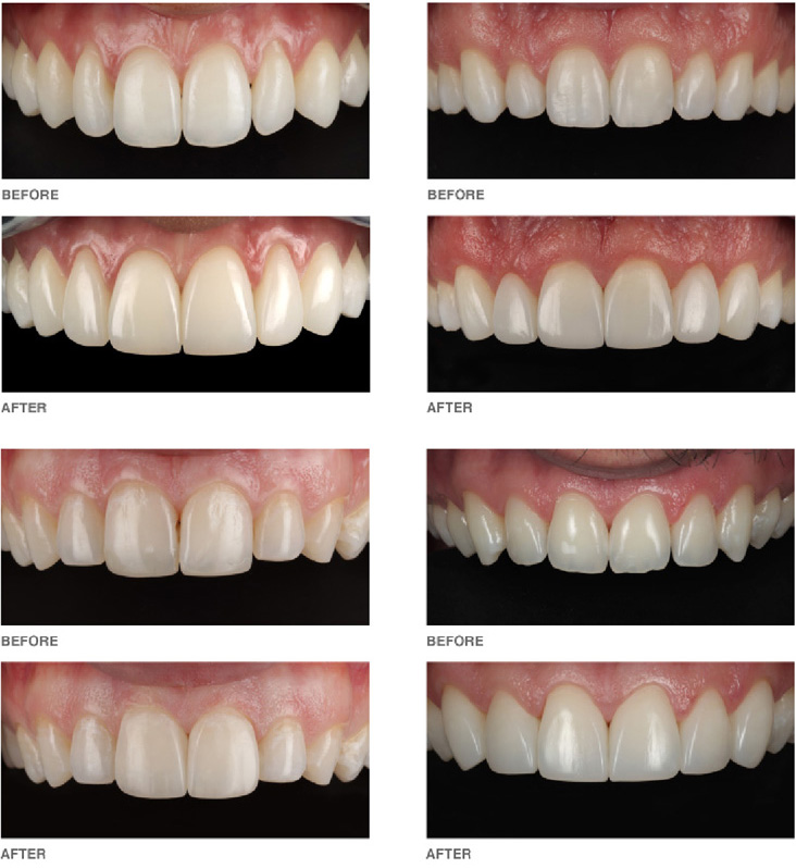
Examples of his work

Cosmetic Dentistry at Strand on the Green Dental
At Strand on the Green Dental, we’re passionate about helping patients achieve confident, natural smiles. With Dr Pete now offering in-house cosmetic treatments, our patients can enjoy expert care without the need for external referrals.
Whether you’re interested in composite bonding, smile makeovers, or other aesthetic dental treatments, Dr Pete combines artistry, precision, and experience to help you achieve results that enhance both your smile and your confidence.
Why Choose Strand on the Green Dental?
Located in the heart of Chiswick (W4), Strand on the Green Dental has been caring for families and individuals in the local community for many years. Our friendly and professional team are dedicated to providing high-quality general, restorative, and cosmetic dentistry, all under one roof.
With the addition of Dr Pete to our team, we’re delighted to now offer Saturday cosmetic dentistry appointments, giving our patients greater flexibility and convenience.
Book Your Saturday Cosmetic Dentistry Appointment Today
If you’ve been thinking about improving your smile, now is the perfect time.
Book your appointment with Dr Pete Niesiolowski at Strand on the Green Dental in Chiswick today.
📞 Call us on 020 8995 0298 to request an appointment.
